ANAMNESIS
Yako es un pincher de 10 años y 9 meses y 8,1 kg que acude al hospital en horario de urgencias. Viene remitido de otra clínica en la que le trataron a principios de esa semana un cuadro de mocos y tos con antibiótico y AINE. A lo largo de la semana ha tenido fiebre y el cuadro ha ido empeorando presentando secreción nasal mucosa verde, estornudos y episodios de tos más frecuentes. Ha estado con apetito caprichoso y el día de la urgencia no quiere comer ni beber y le ven apático. No ha presentado diarreas ni vómitos, y refieren que orina menos de lo normal.
EXPLORACIÓN FÍSICA
En cuanto a la exploración física, Yako presenta fiebre (39,6 ºC) y ligera deshidratación que se puede comprobar mediante el tiempo de rellenado capilar levemente retardado en la mucosa bucal. Además, se auscultan estertores (ruidos respiratorios) producidos por acúmulo de mucosidad en pulmón. En consulta tiene toses de forma esporádica.
PRUEBAS DIAGNÓSTICAS
Se realiza una analítica de sangre completa:
En el hemograma los hallazgos más relevantes son el aumento de glóbulos blancos, especialmente el aumento de monocitos. Además de trombocitosis (número de plaquetas por encima del rango de referencia).
La leucocitosis es el aumento en el número total de glóbulos blancos en sangre.
La monocitosis consiste en un aumento de los monocitos, la cual es habitual que esté asociada a inflamación.


En la bioquímica destaca el ligero aumento de una de las enzimas hepáticas (fosfatasa alcalina) y del sodio.
A continuación, se hacen radiografías de tórax y de cuello, las cuales son compatibles con la normalidad.

A pesar de realizar estas pruebas no se llega a un diagnóstico definitivo, por lo que las indicaciones son hospitalizar con fluidoterapia y medicación intravenosa, y aplicar oxigenoterapia para facilitar la respiración y estabilizar a nuestro paciente. Además, se recomienda realizar otras pruebas diagnósticas como TAC y/o rinoscopia e ir valorando la evolución.
La medicación que se administra durante la hospitalización es: antiinflamatorio esteroideo (Urbasón y Caliercortin), mucolítico (Acetilcisteina) y antibiótico (Amoxicilina-Clavulánico).
HOSPITALIZACIÓN Y SEGUIMIENTO
Durante la hospitalización de Yako se monitorizan distintos parámetros como la temperatura, aspecto de mucosas, apetito, orina y heces, vómitos y regurgitaciones y frecuencia cardiaca y respiratoria. En la auscultación se detecta un soplo de segundo grado y se realiza una ecocardiografía para comprobar si presenta alguna cardiopatía.
En la ecocardiografía se diagnostica que el paciente sufre una Enfermedad Degenerativa Valvular Mitral (EDVM) estadio B1 (ACVIM), asintomático y sin signos de remodelación cardíaca. En este caso no está indicado ningún tratamiento específico, pero se recomienda hacer ecocardiografía de revisión en 3 meses – 1 año.
Dado que el paciente se mantiene estable se decide realizar pruebas de imagen avanzadas para llegar a un diagnóstico definitivo:
TOMOGRAFÍA COMPUTARIZADA (TAC):
El informe se solicita con prioridad estándar, por lo que los resultados tardan en llegar 48 horas.
RINOSCOPIA, NASOFARINGOSCOPIA Y BRONCOSCOPIA CON BIOPSIA Y CULTIVO:
En la rinoscopia se observa secreción nasal abundante, sangrado e inflamación. En la nasofaringoscopia también hay secreción mucosa y sangre. Mientras que en la broncoscopia además de lo anterior se observa una zona estenosada con lesiones ulcerativas.

Se toman muestras para cultivo de ambos orificios nasales.
A la espera de los resultados de las pruebas, y dada la evolución favorable, Yako se va a casa y se comienza con tratamiento sintomático:
Antiinflamatorio esteroideo oral (Prednisolona) e inhalatorio (Budesonida), antibiótico oral (Amoxicilina-clavulánico) y mucolítico (Acetilcisteina).
RESULTADO Y DIAGNÓSTICO DEFINITIVO
Resultado del TAC, cultivo bilateral y biopsia:
Tras el resultado de todas las pruebas anteriores, el diagnóstico definitivo de Yako es una rinitis inflamatoria-infecciosa crónica, linfoplasmocítica, moderadamente intensa, bilateral.
Además, se especifica que no se observa ninguna masa evidente en cavidad nasal.

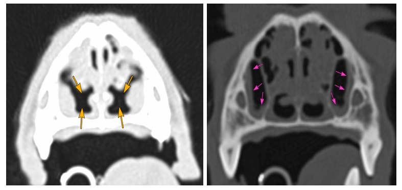
Imagen derecha: Mucosa de senos maxilares moderadamente engrosada (flechas rosas)
En el cultivo se aislaron 2 tipos de bacterias: Escherichia coli y Pseudomonas aeruginosa. Ambas son resistentes según el antibiograma al antibiótico que se había estado utilizando hasta entonces.
TRATAMIENTO
A partir de estos resultados se establece un tratamiento específico:
- Se cambia el antibiótico previo a uno sensible (Marbofloxacino) para ambos patógenos, con una pauta para 10 días.
- Se pauta de nuevo antiinflamatorio esteroideo oral e inhalado (Prednisolona y Budesonida) y mucolítico (Acetilcisteina).
- Se cita para revisar en 10 días.
EVOLUCIÓN Y REVISIONES
A los 10 días la evolución es favorable, aunque aún mantiene toses y estornudos de manera esporádica, vuelve a estar tan animado como siempre.
A los 15 días, la tutora comenta mediante revisión telefónica que está muy bien y ha vuelto a hacer vida totalmente normal.
A los 2 meses su tutora refiere que Yako no ha vuelto a tener problemas de toses ni estornudos, y se encuentra muy activo y juguetón como siempre. Tendrá que volver a lo largo de este año para realizar sus revisiones de ecocardiografía periódicas.
RINITIS LINFOPLASMOCÍTICA CANINA
Las enfermedades relacionadas con las fosas nasales son una patología frecuente tanto en perros como en gatos, las cuales se pueden presentar de forma crónica o aguda, siendo más frecuente las primeras. Estas pueden deberse a infecciones (bacterianas, fúngicas o víricas), tumores, alergias o reacciones secundarias a la presencia de cuerpos extraños.
En la mayoría de los casos los pacientes presentan exudados nasales, toses, estornudos, secreción ocular, entre otros.
En cuanto a las pruebas diagnósticas, aunque las radiografías se utilizan como una prueba útil en estos casos, también está considerada como una prueba poco específica por si sola, ya que no permite diferenciar procesos inflamatorios y neoplásicos.
La rinoscopia se considera uno de los métodos diagnósticos más utilizado y útil en estos casos, sin embargo, no puede utilizarse como única prueba para el diagnóstico de la patología.
En cuanto a la biopsia, se considera imprescindible para el diagnóstico de: tumores, rinitis linfoplasmocitaria y rinitis hiperplásica (Prats y Obach., 1988).
Por otro lado, el TAC es una prueba de imagen capaz de distinguir lesiones neoplásicas de no neoplásicas (Navas et al., 2007).
La rinitis idiopática crónica canina o rinitis linfoplasmocítica canina puede producirse por múltiples causas como infecciones, reacciones a agentes irritantes u otras causas que provoquen una respuesta inflamatoria. En esta el síntoma más común suele ser la descarga nasal mucosa o mucopurulenta. Para el tratamiento de esta afección está indicado el uso de corticoesteroides como antiinflamatorios, además es necesario tratar las rinitis bacterianas secundarias, en caso de que la hubiese, y combinar estos tratamientos con la disminución de agentes irritantes en el ambiente. El pronóstico de esta enfermedad en la mayoría de los casos es bueno (Nelson, 2020).
BIBLIOGRAFÍA
- Navas, B. B., Rodríguez, F. M., Ginel, P. J., & Durán, M. N. (2007). Estudio de tumores de la cavidad nasal y senos paranasales del perro mediante tomografía computarizada (TC). Clínica Veterinaria de Pequeños Animales, 27(4), 245-254. https://ddd.uab.cat/record/68436
- Nelson, R. W. (2020). Medicina interna de pequeños animales, 6a edición. Grupo Asís Biomedia S.L.
- Prats, A., & Obach, A. (1988). Aportación al diagnóstico y cirugía de la cavidad nasal. Revista de AVEPA, 8(4), 181-195.
