Información general:
Óscar es un Teckel de 6 años y 4 meses, y 6 kg.
Motivo de consulta:
Se presentó en el Hospital Veterinario Cantabria un viernes con una paraparesia no ambulatoria aguda.
Prácticamente vino sin poder mover las dos patitas traseras.
Exploración clínica:
Se observan los reflejos posturales alterados, los saltos laterales y la propiocepción sin respuesta, y los reflejos espinales (nervios ciático y femoral) sin alteraciones.
Se neurolocaliza una lesión medular en la región toraco-lumbar (T3-L3).
Se les comenta a los tutores la gravedad de la posible lesión que podría tener Óscar, y se decide realizar un TC toraco-lumbo-sacro de urgencia.
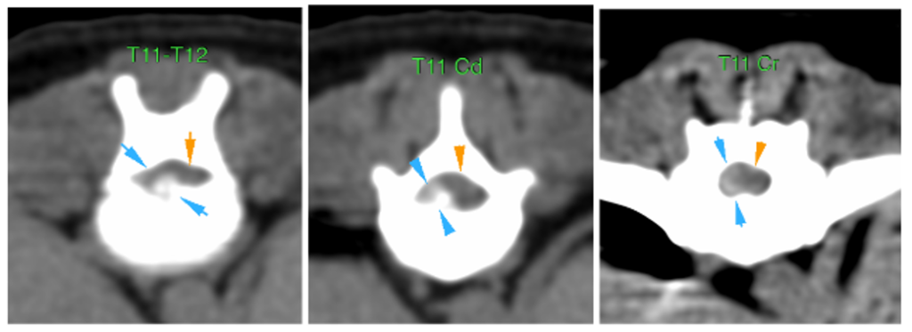
Descripción del TC:
La columna presenta un buen alineamiento.
En el espacio intervertebral (IV) de T11-T12, se visualiza una lesión extradural, con presencia de material hiperatenuante (parcialmente mineralizado) localizado en el aspecto ventral del canal vertebral, lateralizado a la derecha (flechas azules).
Este material se extiende cranealmente a lo largo del cuerpo vertebral de T11 hasta su aspecto craneal, ocupando aprox. 50-70% del diámetro del canal vertebral, causando moderada/marcada compresión medular (flechas naranjas).

El material también se extiende hacia el foramen IV derecho de T11-T12.

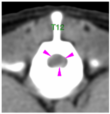
Inmediatamente caudal a la lesión descrita, a nivel craneal del cuerpo vertebral de T12, se visualiza una leve cantidad de material hiperatenuante a la médula pre-contraste que la rodea (flechas rosas)

Diagnóstico:
Lesión extradural lateralizada a la derecha en T11-T12, compatible con extrusión discal (hernia Hansen tipo I) con extensión del material discal cranealmente, a lo largo del cuerpo vertebral de T11 causando moderada/severa mielopatía compresiva.
Cirugía:
El lunes, tras el informe del TC, se decide realizar a Óscar una hemilaminectomía entre los espacios vertebrales T11-T12 derecha, que podría descomprimir y retirar el material herniado.
La hemilaminectomía es un procedimiento quirúrgico utilizado para descomprimir unilateralmente una parte de la lámina vertebral, junto con las carillas articulares y parte del pedículo, para descomprimir la médula espinal o los nervios.


Evolución:
Óscar, tras la cirugía permaneció ingresado 3 días para observar la evolución de los síntomas y el dolor.
Como su recuperación fue muy satisfactoria, fue dado de alta tras este tiempo con: antibiótico (marbofloxacino 20mg – ¾ comprimido cada 24h durante 10 días), 2 tipos de analgésicos (Gabapentina 50 mg -1/2 comprimido cada 8h y Carprofeno 40mg-1/2 comprimido cada 24h durante 30 días), y reposo absoluto en jaula al menos el primer mes.
A los 10 días, Óscar acude al Hospital para la retirada de puntos y la revisión, evolucionando satisfactoriamente, tanto la herida quirúrgica como los reflejos: ha recuperado propiocepción, presentando ahora una paraparesia ambulatoria, todavía con un poco de debilidad. Óscar seguirá con reposo absoluto y medicación.
A los 30 días tras la cirugía, vuelve a acudir a revisión, donde observamos una mejoría impresionante. Óscar ya camina sin dificultad y la exploración nos evidencia una recuperación muy buena y rápida.
Se le da el alta, con indicaciones de retomar la vida normal paulatinamente y empezar a ponerle rampas para las camas o los sofás para intentar evitar nuevas hernias.

Conclusiones:
Las extrusiones discales, o las Hernias de tipo Hansen I, son enfermedades que se suelen ver de urgencia, y se deben de solucionar lo antes posible debido a que el material extrusionado se podría fibrosar y la compresión que ejerce sobre la médula espinal ser irreversible.
Esta enfermedad muchas veces requiere tratamiento quirúrgico, aunque dependiendo de la cantidad de material herniado y de la lesión que este le produjo a la médula al entrar en el canal medular, a veces requerirán tratamiento médico exclusivamente (analgésicos y/o antiinflamatorios y reposo absoluto). Para discernir entre una opción u otra es necesaria una exploración completa por el veterinario neurólogo y realizar pruebas de imagen avanzadas.
La clave para que la evolución de estos pacientes sea muy buena, es que el tiempo que trascurre desde el comienzo de los signos clínicos hasta que se realizan las pruebas y se ponen en marcha las soluciones pertinentes sea lo más breve posible, siendo muy importante acudir con urgencia al veterinario.
